ایمپلنت دندان با ارائه راه حلی بادوام برای دندانهای از دست رفته، دندانپزشکی ترمیمی را متحول کرده است. با این حال، برخی از افراد ممکن است حساسیت یا واکنشهایی به ایمپلنتهای دندانی را تجربه کنند که معمولاً به آن حساسیت ایمپلنت میگویند. این مقاله به علل، علائم، تشخیص و استراتژیهای مدیریت حساسیت ایمپلنت میپردازد و اطلاعات ضروری را هم برای متخصصان دندانپزشکی و هم برای بیماران ارائه میدهد.
میزان بروز حساسیت به ایمپلنت دندان
حساسیت ایمپلنت دندان، اگرچه شایع نیست، بر تعداد کمی از بیماران تأثیر میگذارد. شیوع دقیق بسته به عواملی مانند مواد مورد استفاده، تکنیکهای جراحی و ویژگیهای خاص بیمار مانند آلرژی یا شرایط پزشکی موجود متفاوت است. به طور کلی، درصد کمی از گیرندگان ایمپلنت حساسیت یا واکنشهای آلرژیک را تجربه میکنند.
دلایل ایجاد حساسیت به ایمپلنت دندان
علل حساسیت ایمپلنت دندانی میتواند چند وجهی باشد:
- آلرژی مواد: برخی از بیماران ممکن است به فلزات مورد استفاده در ایمپلنتها واکنش نشان دهند، عمدتاً آلیاژهای تیتانیوم، که میتواند حاوی آثار نیکل باشد که یک آلرژن رایج است.
- عوامل جراحی: اشتباهات در طول فرآیند کاشت، مانند قرار دادن نامناسب یا فشار بیش از حد بر بافتهای اطراف، میتواند به حساسیت کمک کند.
- استئواینتگراسیون نامناسب: هنگامی که ایمپلنت به درستی با استخوان فک ادغام نشود، میتواند ناپایدار شود و منجر به ناراحتی و حساسیت شود.
- عفونت: عفونتهای پس از جراحی نیز میتوانند باعث ایجاد حساسیت در اطراف محل ایمپلنت شوند.
علائم حساسیت به ایمپلنت دندان
علائمی که نشان دهنده حساسیت به ایمپلنت دندان است عبارتند از:
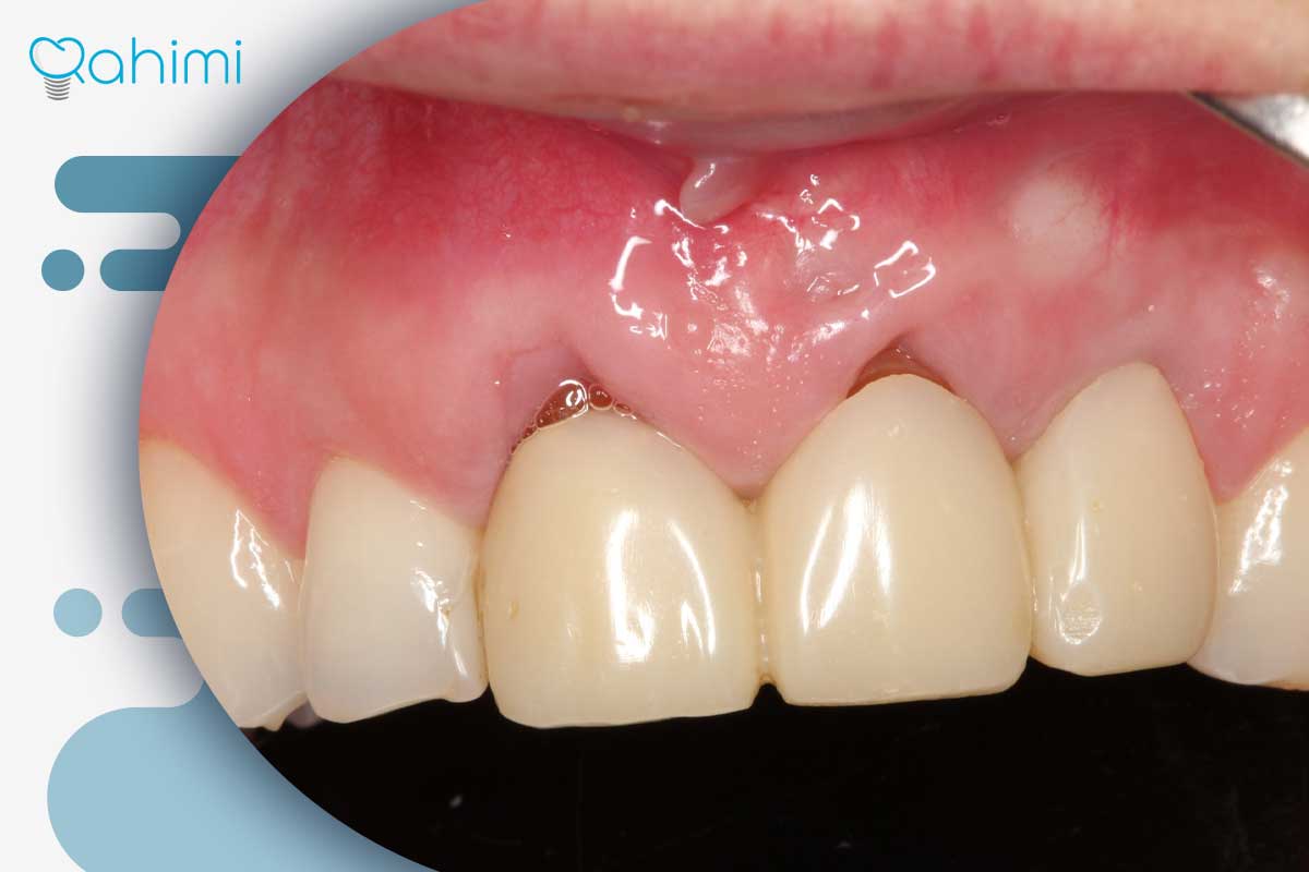
درد مداوم: درد مداوم در اطراف محل ایمپلنت که با مدیریت استاندارد درد فروکش نمیکند.
التهاب: قرمزی، تورم یا گرمی در محل ایمپلنت که اغلب با ناراحتی همراه است.
ناراحتی هنگام جویدن: درد یا ناراحتی هنگام اعمال فشار یا جویدن، که ممکن است نشان دهنده این باشد که ایمپلنت به درستی یکپارچه نشده است.
خونریزی: خونریزی غیرمعمول در اطراف ناحیه ایمپلنت، به ویژه در حین تمیز کردن یا مسواک زدن.
گزینههای درمانی برای حساسیت به ایمپلنت دندان
درمان حساسیت مربوط به ایمپلنتهای دندانی بسته به علت زمینهای شامل استراتژیهای مختلفی است:
اصلاح ایمپلنت: اگر ایمپلنت به درستی قرار نگرفته باشد یا یکپارچه نشده باشد، ممکن است تجدیدنظر جراحی ضروری باشد.
مدیریت آلرژی: برای آلرژی به مواد کاشت، جایگزینی ایمپلنت با یک جایگزین ضد حساسیت میتواند مشکل را حل کند.
دارو: داروهای ضد التهاب یا آنتیبیوتیکها را میتوان برای کاهش التهاب و درمان هر گونه عفونت تجویز کرد.
بهبود بهداشت دندان: مراقبت و بهداشت مناسب در اطراف محل ایمپلنت میتواند از عفونت جلوگیری کرده و باعث بهبودی شود.
روشهای پیشگیری از حساسیت به ایمپلنت دندان
پیشگیری از حساسیت مربوط به ایمپلنتهای دندانی در درجه اول مستلزم برنامه ریزی دقیق و در نظر گرفتن عوامل خاص بیمار است:
غربالگری جامع بیمار: ارزیابی دقیق تاریخچه پزشکی و دندانی بیمار برای شناسایی عوامل خطر بالقوه مانند آلرژی یا شرایطی که ممکن است بر بهبودی تأثیر بگذارد.
استفاده از مواد ضد حساسیت: برای بیماران مبتلا به آلرژی فلزات شناخته شده، استفاده از ایمپلنتهای ساخته شده از مواد ضد حساسیت مانند سرامیک میتواند از واکنشهای آلرژیک جلوگیری کند.
دقت در تکنیک جراحی: قرار دادن دقیق و جابهجایی دقیق در طول عمل جراحی، آسیب به بافتهای اطراف را به حداقل میرساند و خطر حساسیت بعد از عمل را کاهش میدهد.
مراقبتهای منظم پس از عمل: قرار ملاقاتهای بعدی برای نظارت بر روند بهبود و رسیدگی سریع به هر گونه مشکلی که ممکن است ایجاد شود بسیار مهم است.
آزمایش حساسیت به تیتانیوم ایمپلنت
تست حساسیت به تیتانیوم، اگرچه به طور معمول انجام نمیشود، میتواند برای بیمارانی که سابقه حساسیت به فلزات دارند، بسیار مهم باشد:
- تست پچ: متخصصان پوست میتوانند با استفاده از مقدار کمی تیتانیوم روی پوست، آزمایشات پچ را انجام دهند تا ببینند آیا واکنشی وجود دارد که نشان دهنده آلرژی است یا خیر.
- آزمایش خون: برخی آزمایشهای خون میتوانند حساسیت مفرط به فلزات را تشخیص دهند و رویکرد سیستمیکتری را برای تشخیص حساسیتهای احتمالی به مواد ایمپلنت ارائه میدهند.
تفاوت حساسیت به ایمپلنت با عفونت ایمپلنت
درک تفاوت بین حساسیت و عفونت برای مدیریت صحیح و حفظ سلامت ایمپلنت ضروری است:
علائم حساسیت: معمولاً شامل خارش، تورم موضعی، بثورات پوستی یا درماتیت اطراف ایمپلنت (در صورت واکنش آلرژیک) است.
علائم عفونت: اغلب با درد، تورم شدید، قرمزی، ترشح چرک و در برخی موارد تب همراه است.
زمان بروز: حساسیت ممکن است بلافاصله یا ظرف چند روز پس از قرار گرفتن در معرض آلرژن ظاهر شود، در حالی که عفونت معمولاً دیرتر و به دنبال بهبودی ضعیف یا رعایت نکردن بهداشت ایجاد میشود.
شناخت این تفاوتها به انتخاب درمان مناسب کمک کرده و در موفقیت و ماندگاری ایمپلنت نقش کلیدی دارد.
نقش سیستم ایمنی در حساسیت به ایمپلنت
سیستم ایمنی تأثیر مهمی بر نحوه پذیرش ایمپلنتهای دندانی دارد. ازآنجاکه ایمپلنت یک جسم خارجی محسوب میشود، بدن میتواند واکنشهای متفاوتی نسبت به آن نشان دهد:
پاسخ التهابی: در مراحل اولیه، التهاب بخشی طبیعی از فرآیند بهبودی است. اما اگر این التهاب بیش از حد یا طولانیمدت باشد، ممکن است منجر به حساسیت یا حتی پس زدن ایمپلنت شود.
واکنشهای آلرژیک: برخی افراد ممکن است به مواد ایمپلنت، بهویژه فلزاتی مانند تیتانیوم، حساسیت نشان دهند. در این موارد، سیستم ایمنی بدن به عنوان پاسخ دفاعی به آلرژنهای موجود در ایمپلنت واکنش نشان میدهد.
شناخت این واکنشها میتواند به انتخاب مواد مناسبتر و مدیریت بهتر فرآیند کاشت ایمپلنت کمک کند.
درمانهای جایگزین برای افراد دارای حساسیت به ایمپلنت
برای بیمارانی که به ایمپلنتهای سنتی دندان حساس هستند، چندین درمان جایگزین وجود دارد:
- ایمپلنتهای سرامیکی: این ایمپلنتها از موادی مانند زیرکونیا ساخته شدهاند و حاوی فلز نیستند، بنابراین گزینهای عالی برای بیماران مبتلا به آلرژی یا حساسیت به فلز است.
- تست آلرژی قبل از ایمپلنت: انجام تستهای آلرژی قبل از انتخاب ماده ایمپلنت میتواند به انتخاب جایگزین مناسبی که باعث پاسخ ایمنی نمیشود کمک کند.
- ایمپلنتهای سفارشی: طراحی مواد و پوششهای ایمپلنت متناسب با حساسیتهای فردی میتواند به کاهش واکنشهای نامطلوب کمک کند.
تاثیر کیفیت ایمپلنت در کاهش واکنشهای آلرژیک
کیفیت ایمپلنت نقش اساسی در به حداقل رساندن واکنشهای آلرژیک و تضمین موفقیت ایمپلنت دارد:
مواد با کیفیت بالا: ایمپلنتهایی که با مواد مرغوب تولید میشوند ناخالصیهای کمتری دارند که میتواند احتمال واکنشهای آلرژیک را کاهش دهد.
درمانهای سطحی: سطح ایمپلنتها را میتوان درمان یا پوشش داد تا زیست سازگاری را افزایش داده و پتانسیل پاسخ ایمنی را کاهش دهد.
انطباق با استانداردها: ایمپلنتهایی که با استانداردها و مقررات کیفیت بینالمللی مطابقت دارند به احتمال زیاد توسط بدن به خوبی تحمل میشوند.
اطمینان از اینکه ایمپلنتهای دندانی از بالاترین کیفیت برخوردار هستند، نه تنها دوام آنها را افزایش میدهد، بلکه خطر واکنشهای ایمنی را به حداقل میرساند و نتیجه کلی بهتری را برای بیمار به همراه دارد.
معرفی بهترین کلینیک ایمپلنت در قم
برای افرادی که به دنبال خدمات پیشرفته ایمپلنت دندان در قم هستند، کلینیکهای متعددی با تخصص بالا و روشهای نوین درمانی فعالیت میکنند. در این میان، دکتر رحیمی یکی از متخصصان برجستهای است که با بهرهگیری از تکنولوژیهای روز دنیا و تیمی مجرب، خدماتی با کیفیت بالا ارائه میدهد.
چرا دکتر رحیمی؟
تجهیزات پیشرفته: استفاده از فناوریهای جدید برای دقت و موفقیت بیشتر ایمپلنت.
تیم متخصص: جراحان و دندانپزشکان باتجربه که مراقبتهای دقیقی را ارائه میکنند.
طرحهای درمانی متنوع: ارائه ایمپلنتهای تیتانیوم و زیرکونیا بر اساس نیاز بیمار.
اگر به دنبال کاشت ایمپلنتی مطمئن و حرفهای در قم هستید، خدمات دکتر رحیمی میتواند انتخابی ایدهآل برای شما باشد.
سوالات متداول حساسیت به ایمپلنت
بله، بریجهای دندانی جایگزین مناسبی برای ایمپلنت برای پر کردن شکاف دندان هستند. آنها از دندانهای مجاور به عنوان لنگر برای دندان مصنوعی استفاده میکنند و راه حلی غیرجراحی ارائه میدهند.
ایمپلنتهای زیرکونیا به دلیل خواص ضد آلرژی بودن مواد و فرآیند ساخت پیچیدهتر، معمولاً گرانتر هستند. زیرکونیا همچنین به دلیل ویژگیهای زیباییشناختیاش شناخته میشود و بیشتر از تیتانیوم شبیه رنگ دندان طبیعی است.
ایمپلنتهای زیرکونیا به طور کلی برای افراد مبتلا به دندان قروچه مناسب هستند زیرا دوام بالایی دارند و در برابر سایش و پارگی مقاوم هستند. البته وضعیت دندانهای هر بیمار و شدت دندان قروچه باید توسط دندانپزشک بررسی شود.
در حالی که زیرکونیا یک جایگزین عالی برای کسانی است که به تیتانیوم حساسیت دارند، عواملی مانند هزینه، نتایج بالینی و سابقه طولانیتر تیتانیوم ممکن است بر انتخاب ماده تأثیر بگذارد.
حساسیت به ایمپلنت میتواند به صورت التهاب، درد یا تورم در محل کاشت ظاهر شود که گاهی با واکنش آلرژیک مانند خارش یا بثورات پوستی همراه است.
بله، ایمپلنت زیرکونیا یک جایگزین عالی برای بیماران مبتلا به آلرژی تیتانیوم است. آنها زیست سازگار، بدون فلز هستند و خطر واکنشهای آلرژیک را کاهش میدهند.
افرادی که سابقه آلرژی به فلزات، بیماریهای خودایمنی یا سیستم ایمنی حساس دارند، بیشتر مستعد حساسیت یا واکنشهای آلرژیک به ایمپلنتهای دندانی هستند، به ویژه آنهایی که از فلزاتی مانند تیتانیوم ساخته شدهاند.









