دکتر رحیمی، بهترین متخصص ایمپلنت دندان در قم، با سالها تجربه و آموزش تخصصی، نتایجی طبیعی و بادوام ارائه میدهد. کلینیک مدرن ایشان با فناوریهایی مانند تصویربرداری سهبعدی و برنامهریزی دیجیتال، فرآیند ایمپلنت را با دقت و سرعت بالا انجام میدهد. این رویکرد، درمان را مطمئن و راحت میکند.
دکتر رحیمی با مشاوره صادقانه، رفتار آرام و تعهد به کیفیت، اعتماد بیماران را جلب کردهاند. ایشان با تمرکز بر نیازهای هر بیمار، راهحلهای سفارشی برای جایگزینی یک دندان یا بازسازی کامل دهان ارائه میدهند. توجه به جنبههای پزشکی و زیباییشناختی، لبخندهایی زیبا و کاربردی خلق میکند.
کلینیک مجهز و استریل دکتر رحیمی، استانداردهای بالای حرفهای را رعایت میکند. صدها مورد موفق و بیماران وفادار، گواه کیفیت خدمات ایشان است. برای ایمپلنت ایمن و تخصصی با نتایج چشمگیر، کلینیک دکتر رحیمی انتخابی ایدهآل در قم است. با تماس با کلینیک، گامی به سوی لبخندی سالمتر بردارید.
معاینه جامع دندانپزشکی:
بررسی سوابق پزشکی:
جرمگیری دندانها:
دریافت دستورالعملهای قبل از جراحی:
هماهنگی برای حمل و نقل و مراقبتهای پس از جراحی:
انواع خدمات ایمپلنت دندان کلینیک دکتر رحیمی
ایمپلنت تکدندانی: مناسب برای جایگزینی یک دندان ازدسترفته بدون تأثیر بر دندانهای مجاور.
ایمپلنت چنددندانی: ایدهآل برای زمانی که چندین دندان در یک ناحیه از دست رفتهاند.
ایمپلنت All-on-4 / All-on-6: راهحلهای کامل فک با تعداد کمتر ایمپلنت برای بهبودی سریعتر
ایمپلنت فوری: دریافت ایمپلنت و روکش دندان در یک روز.
پیوند استخوان و لیفت سینوس: ضروری برای بیمارانی که دچار تحلیل استخوان هستند.

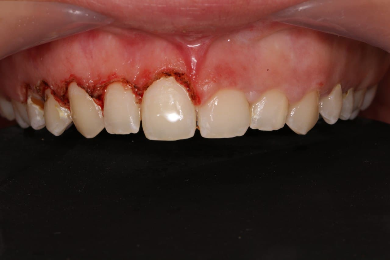
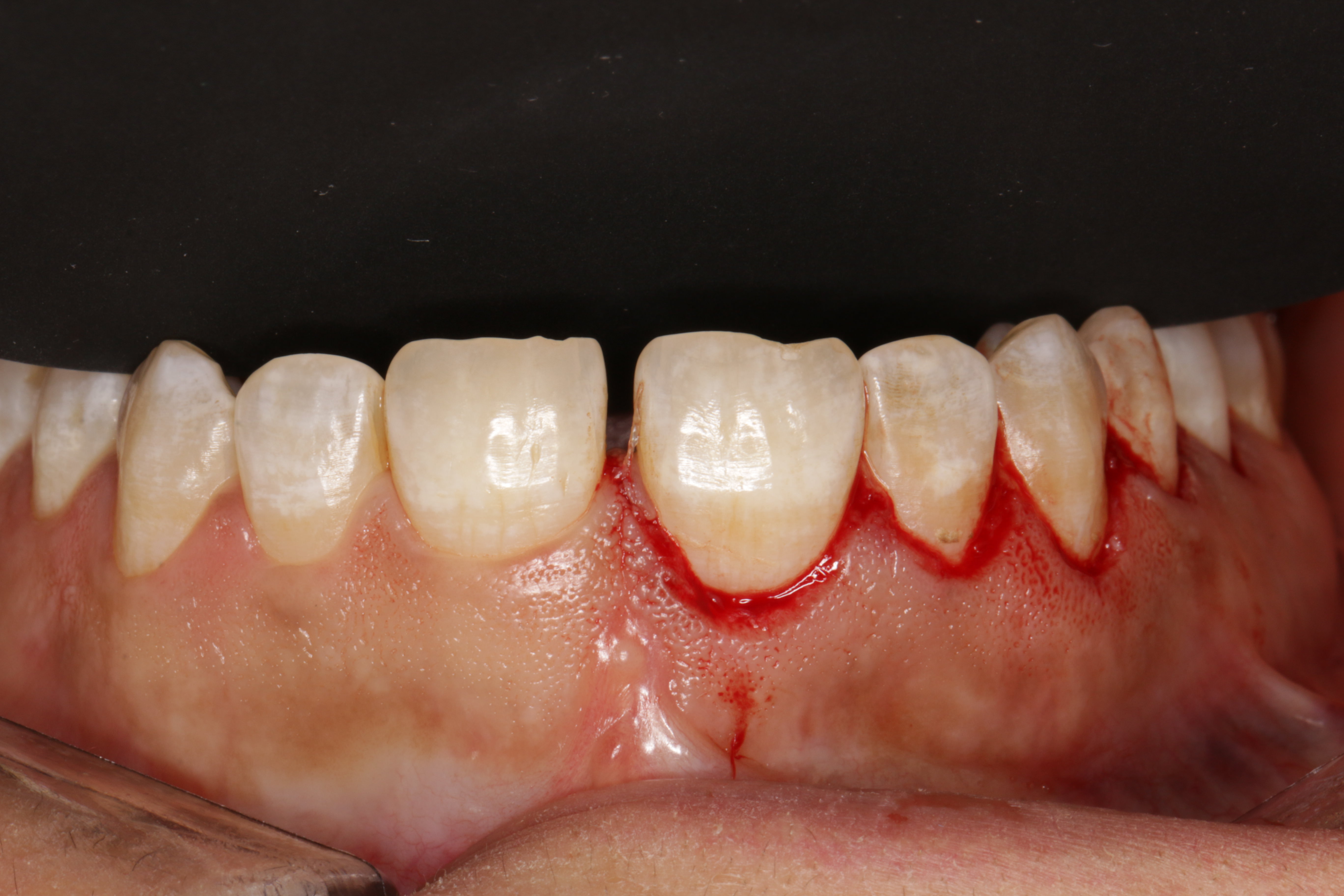
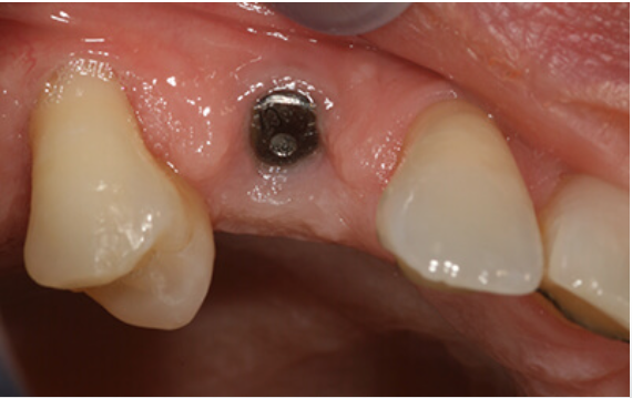
نمونه کار ایمپلنت









فرایند انجام ایمپلنت دندان در قم
سفر به سوی لبخندی کامل با ایمپلنت دندان در قم تحت نظارت دکتر رحیمی، فرآیندی منظم و بیمارمحور را دنبال میکند. مراحل معمول شامل موارد زیر است:
هر مرحله با دقت مدیریت میشود تا بالاترین نرخ موفقیت برای ایمپلنت دندان در قم تضمین شود.

مقایسه انواع ایمپلنت دندان
محل قرارگیری: ایمپلنتهای اندوستئال داخل استخوان فک قرار میگیرند و پایداری بالاتری دارند. ایمپلنتهای سابپریوستئال روی استخوان فک و زیر لثه قرار میگیرند، که کمتر تهاجمی هستند ولی استحکام کمتری دارند. ایمپلنتهای زیگوماتیک در استخوان گونه کاشته میشوند و معمولاً در شرایط خاص به کار میروند.
جنس مواد : اغلب ایمپلنتها از تیتانیوم ساخته میشوند که به خوبی با استخوان جوش میخورند. برخی از ایمپلنتهای جدیدتر از مواد دیگری مانند زیرکونیا ساخته شدهاند که به دلیل رنگ مشابه دندان، از نظر زیبایی برتری دارند.
مدت زمان بهبودی : ایمپلنتهای اندوستئال به دلیل نیاز به جوش خوردن با استخوان، دوره بهبودی طولانیتری دارند. ایمپلنتهای سابپریوستئال ممکن است بهبودی کوتاهتری داشته باشند، زیرا درون استخوان قرار نمیگیرند. مدت زمان بهبودی ایمپلنتهای زیگوماتیک متغیر است و به پیچیدگی جراحی بستگی دارد.
مناسب بودن : انتخاب نوع ایمپلنت بستگی به کیفیت استخوان، سابقه پزشکی و نیازهای خاص بیمار دارد. ایمپلنتهای اندوستئال معمولاً برای اکثر بیماران مناسب هستند، مگر در مواردی که از دست رفتن شدید استخوان وجود داشته باشد.
انواع فناوریهای مدرن در کلینیک دکتر رحیمی
در کلینیک دکتر رحیمی در قم، استفاده از فناوریهای مدرن دندانپزشکی پایهای اساسی برای ارائه نتایج عالی در ایمپلنت دندان در قم است. این نوآوریها تضمین میکنند که روشها سریعتر، ایمنتر و راحتتر باشند. فناوریهای کلیدی شامل موارد زیر است:
تصویربرداری CBCT سهبعدی
اسکنهای دقیق سهبعدی به دکتر رحیمی کمک میکنند تا جایگذاری ایمپلنت را با دقت بالا برنامهریزی کند و خطرات جراحی را کاهش دهد.
- جراحی هدایتشده کامپیوتری: امکان جایگذاری دقیق ایمپلنتها را فراهم میکند و زمان بهبودی را کوتاهتر میکند.
- طراحی دیجیتال لبخند (DSD): بیماران میتوانند شبیهسازی لبخند جدید خود را قبل از شروع درمان مشاهده کنند.
- دندانپزشکی لیزری: لیزرها برای درمان بافتهای نرم با حداقل خونریزی و بهبودی سریعتر استفاده میشوند.
- فناوری CAD/CAM: روکشهای دندان و پروتزهای سفارشی با دقت کامپیوتری طراحی میشوند تا تناسب و زیبایی طبیعی تضمین شود.
ترکیب تخصص و این فناوریهای پیشرفته، کلینیک دکتر رحیمی را به یکی از پیشروهای ارائه ایمپلنت دندان در قم تبدیل کرده است.

هزینه و شرایط پرداخت ایمپلنت دندان در قم
درک هزینههای ایمپلنت برای بیماران ضروری است. در کلینیک دکتر رحیمی، قیمتها شفاف و منصفانه است و با توجه به کیفیت مواد و فناوریهای پیشرفته تعیین میشود. هزینهها به عوامل زیر بستگی دارد:
-
تعداد ایمپلنتهای موردنیاز
-
نوع سیستم ایمپلنت
-
نیاز به روشهای اضافی مانند پیوند استخوان یا لیفت سینوس
-
پیچیدگی درمان
کلینیک دکتر رحیمی با ارائه راهکارهای پرداخت متنوع و همکاری با شرکتهای بیمه درمانی، تلاش میکند ایمپلنت دندان را برای بیماران دسترسپذیر و مقرونبهصرفه کند.

مزایای ایمپلنت دندان
بهبود سلامت و عملکرد دهان
ایمپلنتها مانند دندانهای طبیعی عمل میکنند و به شما اجازه میدهند به راحتی غذا بخورید، بجوید و صحبت کنید. برخلاف بریجها.
دوام و طول عمر بالا
ایمپلنتها با مراقبت مناسب میتوانند سالها، حتی تا پایان عمر، دوام بیاورند. این روش یک راهحل بلندمدت برای جایگزینی دندانهای از دست رفته است.
راحتی و آسایش بیشتر
برخلاف دندانهای مصنوعی متحرک که ممکن است لیز بخورند یا درد ایجاد کنند، ایمپلنتها درون استخوان فک ثابت میشوند و احساس ثبات و راحتی بیشتری فراهم میکنند.
بهبود ظاهر و افزایش اعتماد به نفس
ایمپلنتها ظاهری طبیعی دارند و مانند دندانهای خودتان احساس میشوند. آنها به حفظ شکل طبیعی صورت و لبخند کمک کرده و اعتماد به نفس شما را افزایش میدهند.
جلوگیری از تحلیل استخوان
از دست دادن دندانها معمولاً منجر به تحلیل استخوان فک میشود. ایمپلنتها با تحریک رشد طبیعی استخوان، مانند ریشههای دندان طبیعی عمل میکنند و از تحلیل استخوان جلوگیری میکنند.
بهداشت دهان بهتر
ایمپلنتهای تکی دسترسی به فضای بین دندانها را آسانتر میکنند، که به بهبود بهداشت دهان نسبت به گزینههایی مانند بریج کمک میکند.

مزایای ایمپلنت فوری در مقایسه با ایمپلنت سنتی
کاهش زمان درمان: ایمپلنتهای فوری بلافاصله پس از کشیدن دندان قرار میگیرند، که زمان کلی درمان و تعداد مراجعات به دندانپزشک را کاهش میدهد. در مقابل، ایمپلنتهای سنتی معمولاً به ماهها زمان برای بهبود نیاز دارند.
جراحیهای کمتر: در ایمپلنتهای فوری، نیاز به جراحیهای اضافی مانند پیوند استخوان کاهش مییابد یا حذف میشود، زیرا ایمپلنت بلافاصله پس از کشیدن دندان در استخوان موجود قرار میگیرد.
نتایج فوری: بیماران میتوانند همان روز پس از کشیدن دندان، با دندان موقت یا حتی دائمی از مطب خارج شوند، که جایگزینی فوری و کاربردی ارائه میدهد.
حفظ ساختار بافت لثه: قرار دادن فوری ایمپلنت به حفظ ساختار لثه و استخوان فک کمک میکند، که میتواند به سرعت پس از کشیدن دندان تحلیل رود. این مزیت به حفظ ظاهر زیبای لثهها و ساختارهای صورت کمک میکند.
کاهش درد و ناراحتی: با ترکیب مراحل کشیدن دندان و کاشت ایمپلنت در یک جلسه، بیماران ممکن است درد و ناراحتی کمتری تجربه کنند و نیاز کمتری به مدیریت درد داشته باشند.
رضایت بیشتر بیماران: فرآیند سریع و بهبود سریع در ظاهر و عملکرد دندانها، معمولاً منجر به رضایت بالاتر بیماران از ایمپلنتهای فوری میشود. دکتر رحیمی با ارائه خدمات ایمپلنت فوری، تجربهای بینظیر و بدون دردسر برای بیماران فراهم میآورد.

تفاوت ایمپلنت و سایر روشهای جایگزینی دندان در قم
ایمپلنت در مقابل بریج: ایمپلنت بهصورت مستقل از روکش دندان حمایت میکند و نیازی به تغییر دندانهای مجاور ندارد، برخلاف بریج که به دندانهای کناری متکی است.
ایمپلنت در مقابل دندان مصنوعی: دندانهای مصنوعی قابل جابجایی و کمتر پایدار هستند، در حالی که ایمپلنت بهطور دائمی در استخوان فک ثابت میشود و احساسی طبیعیتر و پایدارتر فراهم میکند.
طول عمر و نگهداری: ایمپلنتها با مراقبت مناسب میتوانند مادامالعمر دوام داشته باشند، در حالی که بریج و دندان مصنوعی معمولاً هر 5 تا 15 سال نیاز به تعویض دارند.
صرفه اقتصادی: اگرچه هزینه اولیه ایمپلنت بیشتر است، اما دوام و نیاز به نگهداری کمتر آنها را در بلندمدت به گزینهای اقتصادیتر تبدیل میکند.
مزایای زیبایی و عملکردی: ایمپلنتها از نظر زیبایی و عملکرد، شباهت زیادی به دندانهای طبیعی دارند و گفتار و توانایی جویدن را بهخوبی حفظ میکنند.
دکتر رحیمی با استفاده از فناوریهای پیشرفته ایمپلنت فوری و دیجیتال در قم، گزینههای جامع و پیشرفتهای برای بازگرداندن سلامت و زیبایی دهان و دندان شما ارائه میدهد.

اهمیت انتخاب یک متخصص ایمپلنت دندان در قم
تخصص و دقت بالا: متخصصان با تجربه و مهارت بالا میتوانند ایمپلنتها را با دقت و ظرافتی که برای موفقیت طولانیمدت ضروری است، جایگذاری کنند.
کاهش خطر عوارض: یک ایمپلنتولوژیست آگاه قادر است به طور مؤثر عوارض احتمالی مانند عفونت یا جوش نخوردن ایمپلنت با استخوان را مدیریت کرده و به حداقل برساند.
استفاده از فناوریهای پیشرفته: متخصصان ماهر معمولاً با جدیدترین فناوریها و تکنیکها همراه هستند و گزینههای درمانی پیشرفته و راحتی بیشتری را برای بیماران فراهم میکنند.
سلامت دندانی بلندمدت: انتخاب یک متخصص حرفهای تضمین میکند که نهتنها ظاهر دندانها، بلکه عملکرد آنها نیز بهخوبی حفظ شده و سلامت کلی دهان و دندان بهبود یابد.
دکتر رحیمی نهتنها دندانها را درمان میکند، بلکه روابطی پایدار بر اساس اعتماد ایجاد میکند. شهرت ایشان در ارائه مراقبتهای باکیفیت، نتایج زیبا و رضایت بیمار، ایشان را به متخصص برتر ایمپلنت دندان در قم تبدیل کرده است.

دلایل محبوب بودن ایمپلنت دندان در قم
بهبود کیفیت زندگی: ایمپلنتها با بازگرداندن توانایی کامل جویدن و افزایش اعتماد به نفس در لبخند زدن، کیفیت زندگی را بهبود میبخشند.
دوام و اطمینان: ایمپلنتها با مراقبت مناسب میتوانند مادامالعمر دوام داشته باشند و به عنوان یک راهحل مطمئن برای از دست دادن دندان عمل کنند.
حفظ ساختار استخوان: ایمپلنتها با جلوگیری از تحلیل رفتن استخوان فک پس از کشیدن دندان، ساختار استخوان را حفظ میکنند.
جذابیت ظاهری: ایمپلنتها شبیه دندانهای طبیعی به نظر میرسند و حس میشوند و زیبایی صورت را با حفظ شکل طبیعی آن بهبود میبخشند.
افزایش آگاهی عمومی: افزایش آگاهی درباره سلامت دهان و پیشرفتهای درمانی دندان باعث شده است که ایمپلنت دندان به گزینهای محبوب در میان شهروندان قم تبدیل شود.
با توجه به این عوامل، انتخاب متخصصی ماهر مانند دکتر رحیمی در قم و مراجعه به کلینیک ایشان در قم، راهکاری مطمئن و مؤثر برای کاشت ایمپلنت و بازگرداندن سلامت و زیبایی دهان و دندان خواهد بود.
فیلد های "*" اجباری هستند

مراقبتهای ضروری بعد از ایمپلنت دندان
مراقبتهای فوری پس از جراحی
لازم است دستورالعملهای دندانپزشک به دقت دنبال شود که ممکن است شامل موارد زیر باشد:
- مصرف داروهای تجویزی.
- رعایت رژیم غذایی نرم برای مدت زمان معین.
- اجتناب از فعالیتهای سنگین برای کمک به روند بهبودی.
ویزیتهای منظم دندانپزشکی
جلسات دورهای برای:
- پاکسازی حرفهای و بررسی وضعیت ایمپلنت و بافتهای اطراف آن.
- اجتناب از عادتهای مضر
- استفاده از محافظ دندان
بهداشت دهان
رعایت بهداشت دهان و دندان بسیار مهم است:
- مسواک زدن و نخ دندان کشیدن بهطور منظم.
- استفاده از دهانشویه ضدباکتری برای جلوگیری از عفونت.
باید از موارد زیر اجتناب کنید
- سیگار کشیدن یا استفاده از مصرف دخانیات.
- جویدن اشیاء سخت.
- دندانقروچه یا فشار به دندانها که میتواند به ایمپلنت آسیب برساند.

مشکلات رایج در ایمپلنت و روش جلوگیری از این مشکلات
پریایمپلنتیت
- عفونت ناشی از تجمع باکتریها در اطراف ایمپلنت و لثهها.
- پیشگیری: رعایت دقیق بهداشت دهان و انجام جرمگیری و پاکسازی حرفهای منظم.
شکست ایمپلنت
- علل: عدم ادغام صحیح با استخوان، فشار زیاد بر ایمپلنت یا شرایط سلامتی که بر بهبودی تأثیر میگذارند.
- پیشگیری: انتخاب یک ایمپلنتشناس ماهر.
- پیروی از تمام دستورالعملهای پس از جراحی.
مشکلات ساختاری
- مثل شل شدن ایمپلنتها یا شکستگی اجزای پروتز.
- پیشگیری: استفاده از ایمپلنتهای با کیفیت بالا و اطمینان از قرارگیری صحیح ایمپلنتها و توزیع مناسب فشار.
از دست دادن استخوان اطراف ایمپلنت
- از دست دادن مداوم استخوان میتواند موجب بیثباتی ایمپلنت شود.
- پیشگیری: نظارت منظم توسط دندانپزشک.
- مداخله بهموقع در صورت مشاهده علائم از دست دادن استخوان.
راههای ارتباطی
تلفن: 02537832389
آدرس: قم خیابان شهید فاطمی(دورشهر) کوچه ۶ پلاک ۵۲
دریافت نوبت از دکتر رحیمی
دریافت نوبت برای ایمپلنت دندان در قم با دکتر رحیمی فرآیندی آسان، سریع و منظم است که با اولویت راحتی بیمار طراحی شده است.
روشهای تعیین وقت:
- تماس تلفنی: تماس مستقیم با پذیرش کلینیک برای انتخاب نزدیکترین تاریخ ممکن.
- رزرو آنلاین: رزرو نوبت از طریق وبسایت کلینیک.
- مراجعه حضوری: مراجعه به کلینیک برای تنظیم مشاوره و بحث درباره نیازها.
با توجه به تقاضای بالا برای خدمات تخصصی ایمپلنت دندان در قم، توصیه میشود نوبت خود را زودتر رزرو کنید. تیم کلینیک تجربهای خوشایند و حرفهای را از اولین تماس تضمین میکند.
فیلد های "*" اجباری هستند
نکات کلیدی
با درک اهمیت مراقبتهای پس از ایمپلنت، انتخاب یک متخصص ماهر و آگاهی از مشکلات بالقوه، بیماران میتوانند عمر طولانیتری برای ایمپلنتهای خود فراهم کنند و از موفقیت آنها مطمئن شوند. رعایت بهداشت دهان، انجام ویزیتهای منظم و اجتناب از عادتهای مضر از جمله گامهای ضروری برای حفظ سلامت دهان و دندان و دوام ایمپلنتها است.
سوالات متداول ایمپلنت دندان در قم
مدت زمان عمل ایمپلنت دندان بسته به پیچیدگی مورد و تعداد ایمپلنتهای قرار داده شده میتواند متفاوت باشد. به طور کلی، عمل جراحی یک ایمپلنت ممکن است حدود 1 تا 2 ساعت طول بکشد. در صورت نیاز به پیوند استخوان یا سایر مراحل آماده سازی ممکن است زمان بیشتری لازم باشد.
ایمپلنت دندان برای اکثر بزرگسالانی که از سلامت عمومی خوبی برخوردار هستند و استخوان کافی در فک خود برای حمایت از ایمپلنت دارند، مناسب است. نامزدهای ایده آل غیر سیگاریها هستند و بیماریهایی ندارند که بر بهبود استخوان تأثیر بگذارد، مانند دیابت کنترل نشده یا بیماریهای خودایمنی خاص.
بهترین دندانپزشک ایمپلنت در قم را اغلب میتوان با تحقیق در مورد بررسیهای آنلاین، درخواست ارجاع از دوستان یا خانواده، یا مشورت با انجمنهای دندانپزشکی محلی پیدا کرد. کلینیکهایی با متخصصان مجرب، مانند کلینیک دکتر رحیمی، اغلب به دلیل تخصص خود در کاشت دندان شناخته میشوند.
برای تعیین وقت ملاقات با بهترین متخصص ایمپلنت در قم، میتوانید مستقیماً از طریق وب سایت یا تلفن با مطب دندانپزشکی تماس بگیرید. بسیاری از کلینیکها همچنین امکان رزرو آنلاین یا از طریق ایمیل را ارائه میدهند.
هزینه ایمپلنت دندان در کلینیک دکتر رحیمی قم بر اساس عوامل متعددی از جمله نوع ایمپلنت و هر گونه روش اضافی مورد نیاز مانند پیوند استخوان یا اباتمنت سفارشی میتواند متفاوت باشد. به طور کلی، قیمت هر ایمپلنت ممکن است از چندین میلیون ریال ایران متغیر باشد. برای اطلاع از دقیقترین و به روزترین قیمت، بهتر است مستقیماً با کلینیک مشورت کنید.
روشهای ایمپلنت فوری، که در آن ایمپلنت بلافاصله پس از کشیدن دندان قرار میگیرد، معمولاً به همان مقدار زمان جراحی نیاز دارد که ایمپلنتهای سنتی حدود 1 تا 2 ساعت است. با این حال، زمان کلی درمان با کشیدن دندان کوتاه میشود و کاشت ایمپلنت در یک جلسه کامل میشود.
ایمپلنت دندان میتواند برای افراد مبتلا به دیابت یا سایر بیماریها مناسب باشد، مشروط بر اینکه این شرایط به خوبی مدیریت شوند. به عنوان مثال، بیماران مبتلا به دیابت، برای اطمینان از بهبودی مناسب، باید سطح قند خون خود را تحت کنترل داشته باشند. همیشه با پزشک و دندانپزشک خود مشورت کنید تا تعیین کنید که آیا ایمپلنت دندان گزینهای امن برای وضعیت سلامتی خاص شما هستند یا خیر.
دکتر رحیمی با فناوری پیشرفته، مهارت تخصصی و مراقبت شخصی، نتایجی باکیفیت و طبیعی ارائه میدهد.
تصویربرداری سهبعدی، جراحی هدایتشده و برنامهریزی سفارشی، با تمرکز بر زیبایی و کارکرد.
نرخ موفقیت بالا، نظرات مثبت بیماران و فناوری مدرن، ایشان را گزینهای مطمئن میکند.
تصویربرداری CBCT، جراحی هدایتشده، دندانپزشکی لیزری و پروتزهای CAD/CAM برای دقت بالا.
رضایت بالا، بهبودی سریع و نتایج طبیعی با رفتار حرفهای و همدلانه گزارش شده.
بله، مشاوره جامع و شخصیسازیشده برای طراحی بهترین برنامه درمانی ارائه میشود.
از طریق تماس تلفنی، رزرو آنلاین یا مراجعه حضوری به کلینیک.





